青春期的大脑会发生什么变化?
人类的大脑要经历漫长的发展变化,尤其是在青春期,个体大脑的信息处理能力和社交敏感度都会获得提升,青少年适应环境的能力也会增强。
大脑在青春期阶段的发展变化常常反映在青少年的各种行为上,比如他们渴望探索、寻求同伴关系、尝试驾驭变幻莫测的世界。
今天就一起了解如何帮助青少年发展学习能力,促进青春期的脑发育。
青春期大脑的结构发展与变化
如果从神经科学的角度来解释,青春期的变化由两套神经和心理系统相互作用,将孩子推向成年。
第一套系统与情绪、动机相关。它与青春期的生物化学反应关系紧密,涉及大脑的奖赏区域。正是这一机制的启动,将一个乖巧平和的小孩变成不安分、精力旺盛、情绪激烈的青少年,渴望实现每一个目标,满足每一个欲望,体验每一种感受。
第二套系统则是控制系统,它疏导并控制所有这些能量,尤其是前额叶皮层。这是一个抑制冲动并指导决策的系统,鼓励长期规划并延迟满足。控制系统的发育,更多地依赖学习。它随着经验不断加强,让孩子在一次次试错中学会更好地做决策。
研究人员借助磁共振成像技术给一位青少年的大脑拍照,通过磁共振成像展示了人类青春期大脑结构与功能的发展变化。

▲磁共振成像设备和大脑成分结构图
大脑的组织结构部分主要由灰质和白质两种成分组成。

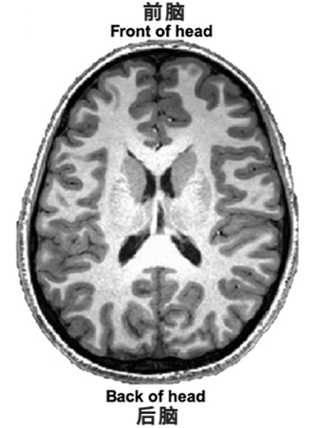
▲利用磁共振成像技术获得的一张人脑图,围绕白色区域的灰色部分是大脑皮层的灰质, 白色区域则是白质。
灰质由神经元细胞的胞体组成,分布在大脑皮层和大脑深处。灰质包含大部分神经元细胞体,构成了与运动控制、感知觉、做决策以及自我控制相关的脑区。
在青春期,灰质体积会随年龄增长逐渐减少约1.5%。灰质的减少被认为与脑细胞连接的微调有关,也与大脑中白质的增加有关。

白质位于大脑皮层之下,由神经元的轴突组成。轴突通过信号传递,负责将不同脑区连接起来。
在青春期早期,白质逐渐增加,但到十多岁时,增长趋势趋于稳定。白质的增加被认为与脑细胞之间信号传递的速度增强有关。

青春期大脑内不同脑区是如何连接的?
大脑是一个庞杂的网络系统,当个体在执行不同的行为或功能时,大脑的不同脑区间会相互交流。
当人类进行换位思考时,可以通过功能磁共振成像技术检测流经大脑血液中的含氧量来衡量大脑的活动强度。当不同脑区呈现出相类似的脑活动时,就可以说明它们在功能上是相互连接的。
青春期呈现的典型行为,如开始在意他人的看法、自主做决定等,都与大脑不同脑区间的功能连接模式有关。当然,个体的脑功能连接方式各有不同,并非每个青少年都会表现出青春期特有的行为。因此,青春期大脑活动模式的不同也是导致个体行为差异的原因之一。

青春期个体行为发生变化的其中一个典型例子是“时间折扣偏好”,即个体倾向于获得当下的短期回报或是等待长期回报的偏好选择,体现为个人愿意花多长时间等待奖励。
相关研究人员对此行为在进入青春期前后的变化进行了研究,发现这与负责行为控制的脑区和负责评价的脑区所呈现的连接模式有关。
很多人会认为青少年倾向于获得当下即时的奖励,没有耐心等待未来可能更大的奖励。但研究发现,这些选择存在个体差异,而这一差异本身与个体的脑连接有关。
研究表明,脑连接在青春期会进行相应的重组,各种经历也同时塑造着脑连接的方式。通过参与某些行为模式,促使大脑的某些连接模式变得更为强大,这也是青春期个体在智力和情感方面获得飞跃式发展的原因。
与婴幼儿时期不同的是,孩子在青春期有能力为自己的大脑健康成长做决定。这一时期对自己和世界有了更多的了解,渴望参与体验,更加积极主动,同时也更有信心为自己做好选择,而每一次选择都在塑造着大脑,这些变化也正是青春期大脑的魅力所在。

如何为青少年的脑质成长提供更科学的学习环境?
青少年时期的大脑很容易被塑造,所以老师和家长们应该在这个时期重点关注孩子的大脑发育。
青少年与年龄更小的儿童相比,理解复杂问题的能力更强。因此,优化学校学习环境,将大脑发展相关问题,如提出决策、解决问题、规划未来等融入学校的课程中,可以帮助青少年自主思考、自主成长,让他们理解自己的大脑中发生了什么变化。
同时,老师可以根据青春期孩子在社交方面的需求,鼓励开展参与式、合作式的小组讨论活动;及时征求学生对课堂活动的意见及反馈,让学生有主人翁意识;鼓励不同年级的学生相互学习,取长补短,从更多元的视角看问题,从而更好地掌握新技能。
除此之外,还可以适当调整教室内桌椅摆放的形式,如设计成围坐成圆的形式,以此鼓励孩子们进行合作学习,便于小组间的合作交流。

老师可以尝试把学习的主动权交给学生,让学生自己设计学习目标,激发学生的学习主动性。当学生能够自主安排好计划时,更容易付出努力,为迎接新的挑战做好更充分的准备。
学校也可以鼓励学生多多参与到课外活动中,比如在社区内进行实践学习,参与志愿者活动等,可以帮助学生将课堂上学到的知识应用到现实中。
在青春期,孩子的抽象思维、综合思维、反思能力都会大大提升。有研究表明,由于青少年能够同时掌握不同的概念,他们甚至比儿童和成人更有能力去创造性地解决问题。利用青少年时期已具备的脑力来促进大脑进一步健康成长,这些形成要在给予青少年足够的自主选择空间上建立。
家长和老师可以鼓励青少年为自己设定合理的目标,激发青少年在形成自我认同感以及为实现长远目标上更加积极主动,要更关注青少年大脑的健康成长,营造有助于脑智成长发育的社会环境。
编辑:刘佐琪
来源:三联生活周刊、Frontiers for Young Minds
